Sleep Bruxism (SB)

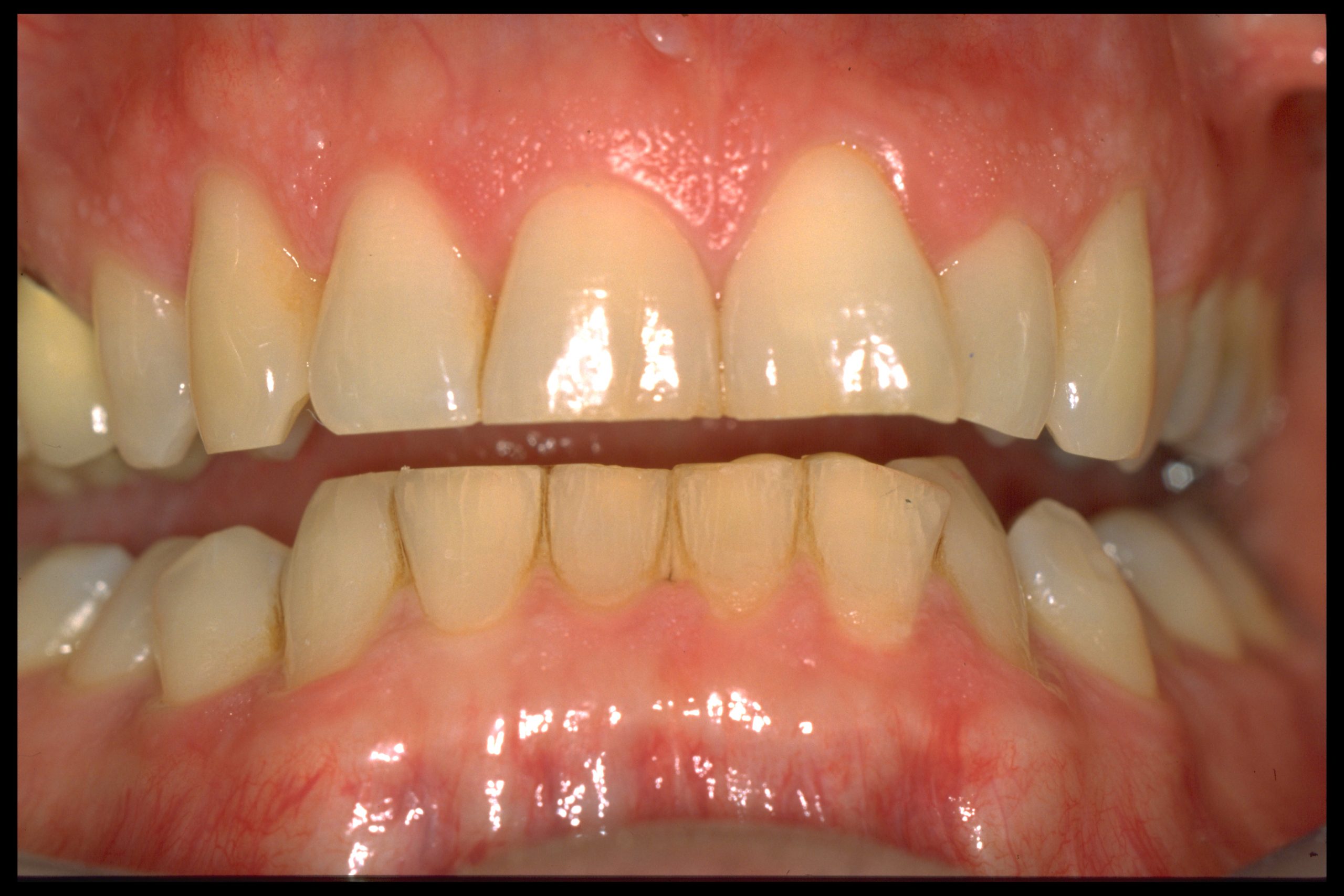
Sleep Bruxism is a movement disorder characterised by clenching and grinding of the jaws and teeth while sleeping. Typical signs of this condition are exaggerated tooth wear, fractures of teeth and dental restorations, fillings, crowns, bridges etc. Excessive sleep bruxing can also lead to damage to the gum or periodontal tissues, which support the tooth leading to gum recession and looseness or tooth mobility. Typical symptoms can be significant TMJ, or jaw joint discomfort, tooth sensitivity and headache which may result from persistent sleep bruxing movements.

Associated risk factors

There are a number of documented risk factors associated with Sleep Bruxism such as anxiety, psychological stress, obstructive sleep apnoea syndrome, snoring, daytime sleepiness, and alcohol and caffeine consumption. Certain prescription drugs including serotonin uptake inhibitors such as Lexapro, Prozac, and Seroxit along with psychiatric disorders and neurological conditions have been associated with this condition. Sleep Bruxism may also have a hereditary component.

Self-Test:
Are you aware, or has anyone heard you, grinding your teeth frequently during sleep? Yes / No
Are you aware that your teeth are worn down more than they should be? Yes / No
Are you aware of the following symptoms on wakening? Yes / No
Sensation of fatigue, tightness or soreness of your jaw on awakening?
Feeling that your teeth are clenched or that your mouth is sore on awakening?
Aching of your temples upon awakening?
Difficulty opening your mouth wide upon awakening?
Feeling tension in your jaw joint upon awakening and feeling as if you have to move your lower jaw to release it?
Hearing or feeling a “click” in your jaw joint upon awakening that disappears afterwards?
Positive responses indicate potential sleep bruxing risks.

[Modified from the American Academy of Sleep Medicine (2005)]

When to see a doctor

Loud snoring can indicate a potentially serious problem, but not everyone who has sleep apnea snores. Talk to your doctor if you have signs or symptoms of sleep apnea. Ask your doctor about any sleep problem that leaves you fatigued, sleepy and irritable.

For more information on sleep related issues visit www.irishsleepsociety.org