Beacon Consultants Sleep Health Clinic, headed by Dr. Owens, provides comprehensive sleep diagnostics and Behavioral Sleep Medicine. The clinic utilises a range of cutting edge technologies and treatment approaches.
Sleep Bruxism (SB) Management
What we can do for you
Comprehensive Diagnosis and Risk Analysis of the potential for damage to your teeth, existing dental restorations, gums and jaw joint discomfort. Evaluation of actual or expected damage from SB should be considered as part of any management strategy
Comprehensive Investigation and diagnosis of causes, effects and potential management approaches to deal with the signs and symptoms posed by excessive Sleep Bruxism.
Protective Oral Appliance Provision of several variations of customized protective dental appliances to control the effects of excessive Sleep Bruxism
Protective Oral Appliance
Appliance, as worn over upper teeth
Restorative Dentistry interventions and treatments for teeth or dental restorations damaged by Sleep Bruxing.
Prosthodontic Reconstructions and or replacement of significantly worn or damaged or missing teeth resulting from the effects severe Sleep Bruxism. Complex diagnostics and treatment planning are required to ensure predictable outcomes with a specialist prosthodontist.
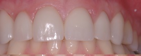
Severe Tooth Erosion and Wear from Sleep Bruxism
Following Treatment with Crowns
Bite Adjustment Periodontal (Gum) Considerations Selective Adjustment of teeth and evaluation of damage to the periodontal support for the teeth may form part of any treatment intervention.
Facial Pain, Medical and Stress Management Referrals For complex medical treatment requirements, we have an established network of dental and medical specialists with whom we collaborate, to provide optimal care for you. We will orgainise the appropriate referrals to deal with non-dental aspects of Sleep Bruxism as part of an integrated treatment approach.
Maintenance Programs to maintain the outcomes of the treatment interventions provided
To book a consultation with the Beacon Dental Sleep Medicine Clinic, click here
Protective Oral Appliance
Appliance, as worn over upper teeth
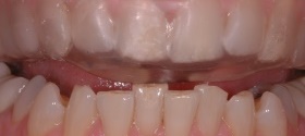
Severe Tooth Erosion and Wear from Sleep Bruxism
Following Treatment with Crowns