Home2025-02-03T17:43:08+00:00

Welcome to the Beacon Consultants Sleep Health Clinic

Comprehensive care & treatment for sleep disorders

About the Beacon Consultants Sleep Health Clinic

Located in the Beacon Consultants Clinic in Sandyford, our facility collaborates with major hospital sleep disorder clinics and other specialists and have been active in the development and use of oral sleep appliances in the area of Dental Sleep Medicine in Ireland over many years.

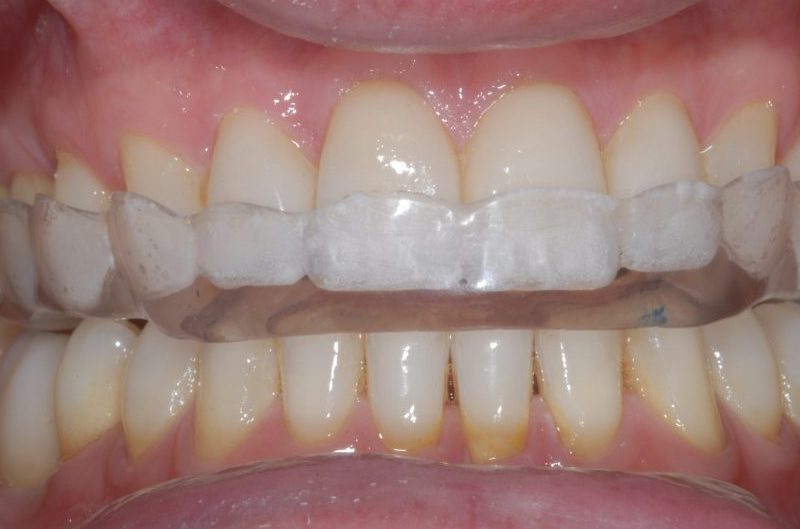
We utilise a range of new technologies and treatment approaches. These include the use of customised digitally fabricated oral devices with specific sensor technology use to enable monitoring for ongoing evaluation.

As a result, the clinic has been successful in assisting many patients, and oftentimes also importantly, their sleep disrupted partners, in achieving more optimal and healthy sleep experiences.

Explore Recent Articles

Snoring & Sleep Apnoea

Do you snore or stop breathing at night?

Understanding Snoring & Sleep Apnoea

Snoring & Sleep Apnoea Management

Snoring & Sleep Apnoea FAQ’s

Sleep Bruxism

Do you clench or grind your teeth at night?

Sleep Apnoea Snoring Treatment

What is Sleep Bruxism

Sleep Apnoea Snoring Treatment

Bruxism Management

Bruxism FAQ’s

Leaders in Sleep Medicine

Sleep disorders are linked to many chronic health conditions and can impact your quality of life. Getting an accurate diagnosis and the right treatment are essential.

Our dedicated sleep medicine team works together seamlessly to ensure you receive personalized, coordinated care. We treat all sleep disorders, from routine to complex. Our sleep medicine specialists have extensive experience helping patients

Go to Top